ใครๆ ก็อยากมีฟันสวย และยิ้มงามๆ ปัจจุบัน มีเทคโนโลยีทางทันตกรรมที่หลากหลาย สามารถสร้างรอยยิ้มที่สวยงาม ควบคู่ไปกับสุขภาพฟันที่แข็งแรง ภายใต้การดูแลของทีมทันตแพทย์ในแต่ละสาขา

การผนวกงานทันตกรรมในแต่ละสาขา เพื่อปรับเปลี่ยน สีฟัน, ผิวฟัน, รูปร่างฟัน, หรือการเรียงตัวของฟัน จัดเป็นการบูรณะฟันเพื่อความสวยงาม โดยใช้ศาสตร์และศิลป์ จากงานทันตกรรมในด้านต่างๆ ดังนี้

การฟอกสีฟัน เป็นการปรับเปลี่ยน สีฟันให้ขาวขึ้น โดยทันตแพทย์และผู้รับการรักษา สามารถร่วมกันกำหนดระดับความขาวที่ต้องการได้ ซึ่งขึ้นกับการเลือกวิธีการฟอกสีฟัน ดังนี้

การฟอกสีฟันมีกี่แบบ

  1. การฟอกสีฟันโดยทันตแพทย์ (In-office Bleaching)
  2. การฟอกสีฟันด้วยตนเอง (Home Bleaching )

การฟอกสีฟันโดยทันตแพทย์

เป็นการฟอกสีฟันในคลินิกทันตกรรม โดยใช้แสงในระดับความยาวคลื่นที่แตกต่างกันไปในเครื่องฟอกสีฟันแต่ละชนิด แสงเหล่านี้จะกระตุ้นปฏิกิริยาของสารฟอกสีฟันบนผิวเคลือบฟัน

เครื่องฟอกสีฟันที่คลินิกเขารังสไมล์

การฟอกสีฟันด้วยตนเอง

เป็นการฟอกสีฟัน โดยใช้สารฟอกสีฟันที่มีความเข้มข้นต่ำกว่าการฟอกสีฟันโดยทันตแพทย์ แต่ใช้ระยะเวลาในการฟอกสีฟันนานขึ้น ทันตแพทย์พิมพ์ปาก เพื่อทำถาดฟอกสีฟันที่พอดีกับเนื้อเยื่อในช่องปากของผู้รับการรักษา การฟอกสีฟันด้วยตนเองที่บ้าน จะใช้น้ำยาฟอกสีฟันหยดลงในถาดฟอกสีฟัน สวมใส่ถาดฟอกสีฟันไว้ตามระยะเวลาที่กำหนด และควรฟอกสีฟันด้วยตนเองอย่างต่อเนื่องในช่วงแรก เพื่อประสิทธิภาพในการเปลี่ยนแปลงสีฟันตามที่ท่านคาดหวัง

ข้อควรปฏิบัติหลังเข้ารับการฟอกสีฟัน

1. ควรทำความสะอาดฟัน โดยการแปรงฟันหลังมื้ออาหารทุกครั้ง และใช้ไหมขัดฟันอย่างน้อยวันละ 1 ครั้ง เพื่อป้องกันการติดของสีจากอาหาร
2. กรณีฟอกสีฟันโดยทันตแพทย์ ควรหลีกเลี่ยงการรับประทานอาหาร และเครื่องดื่มที่ก่อให้เกิดคราบสีบนผิวฟัน เป็นเวลาอย่างน้อย 2 วัน หลังการฟอกสีฟัน เช่น ชา, กาแฟ, ช็อกโกแลต, ไวน์แดง และอาหารที่มีสีดำคล้ำทุกชนิด รวมทั้งควรงดสูบบุหรี่อย่างน้อย 2 วัน เช่นกัน
3. ในระหว่าง หรือหลังการฟอกสีฟัน 1 – 2 วัน อาจมีอาการเสียวฟันเกิดขึ้นได้ ขึ้นอยู่กับสภาพผิวฟัน โดยเฉพาะผิวฟันที่มีรอยสึก รอยร้าว หรือมีปัญหาเหงือกร่น แต่อาการดังกล่าวจะลดลง และหายได้เองภายใน 1 – 2 วัน หลังการฟอกสีฟัน
4. หลังการฟอกสีฟัน ระดับสีไม่ได้ขาวคงที่ตลอดไปขึ้นอยู่กับอาหารที่รับประทาน และการดูแลทำความสะอาดสุขภาพช่องปาก การฟอกสีฟันด้วยตนเอง (Home bleaching) โดยใช้น้ำยาในปริมาณน้อยอย่างต่อเนื่องทุก 6 – 12 เดือนจะส่งผลให้ระดับสี ขาวคงที่

การทำเคลือบฟัน เป็นการเปลี่ยนผิวหน้าของฟันโดยใช้วัสดุหรือชิ้นงานทางทันตกรรม นำมายึดติดกับผิวเคลือบฟันด้านหน้าที่ได้รับการกรอแต่งแล้ว เพื่อปรับปรุงในด้านความสวยงามของสีฟัน, ผิวฟัน, รูปร่างฟันและการเรียงตัวของฟัน ในกรณีต่าง ๆ ดังนี้

  1. ฟันที่มีการเปลี่ยนสีซึ่งเกิดจากการตายของฟัน
  2. ฟันดำคล้ำจากการรับประทานยาปฎิชีวนะ
  3. ฟันที่มีการสึกกร่อน บิ่น หรือแตกหักไม่เกินหนึ่งในสามของตัวฟันเดิม
  4. ฟันที่มีรูปร่างเล็กผิดปกติแต่กำเนิด
  5. กรณีที่มีช่องว่างระหว่างฟัน
  6. ฟันที่มีการเรียงตัวบิดเบี้ยวเล็กน้อย

ประเภทของเคลือบฟัน

  1. คอมโพสิทเรซิน เป็นการใช้วัสดุอุดคอมโพสิทเรซิน ตกแต่งบนผิวหน้าฟัน ขั้นตอนการทำเหมือนกับการอุดฟันคอมโพสิทเรซิน ใช้เวลาในการทำประมาณ 40 นาที ต่อซี่
  2. เซรามิค มีความโปร่งแสง แลดูเป็นธรรมชาติ และมีอายุการใช้งานยาวนานกว่าคอมโพสิทเรซิน แต่จะใช้เวลาในการทำมากขึ้น ตามขั้นตอนดังนี้
    • กรอแต่งผิวฟันด้านหน้า ภายใต้ยาชาเฉพาะที่
    • พิมพ์ปากเพื่อทำแบบจำลองฟัน และส่งแบบจำลองฟันไปยังห้องแล็ป เพื่อให้ช่างทันตกรรมทำชิ้นงานเคลือบฟันเซรามิค
    • ยึดติดเคลือบฟันชนิดชั่วคราว สำหรับใช้งานประมาณ 5 – 7 วัน
    • หลังจาก 5 – 7 วัน ทันตแพทย์ลองชิ้นงานเคลือบฟันเซรามิค และปรับแต่งให้เหมาะสมกับสภาพการสบฟันของผู้รับการรักษา
    • ยึดติดเคลือบฟันอย่างถาวรด้วยเรซินซีเมนต์

     

ข้อควรปฏิบัติและการดูแลหลังเข้ารับการเคลือบผิวฟัน

  1. หากเคลือบฟันด้วยเซรามิค ควรหลีกเลี่ยงการกัดเคี้ยวอาหารในตำแหน่งฟันซี่นั้นๆ เป็นเวลา 24 ชั่วโมง หลังการยึดติด
  2. อาจมีอาการเสียวฟันหรือเหงือกบวมเกิดขึ้นได้ ในผู้รับการรักษาบางท่าน ซึ่งอาการดังกล่าวจะหายได้เองภายในเวลาไม่นาน และท่านสามารถหลีกเลี่ยงอาการเหล่านี้ได้โดย
    • บ้วนปากด้วยน้ำเกลือหลังการแปรงฟันทุกครั้ง
    • หลีกเลี่ยงการดื่ม หรือรับประทานอาหารที่เย็น หรือร้อนจัด
  3. ควรระมัดระวังและหลีกเลี่ยงการกัดเคี้ยวอาหารแข็งบริเวณฟันซี่ที่ได้รับการเคลือบฟัน
  4. ควรทำความสะอาดโดยการแปรงฟันหลังมื้ออาหารทุกครั้ง และใช้ไหมขัดฟันอย่างน้อยวันละ 1 ครั้ง
  5. ควรตรวจสุขภาพฟันโดยทันตแพทย์ทุก 6 เดือน

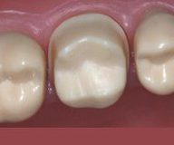
การทำครอบฟันเป็นการบูรณะฟัน โดยใช้ชิ้นงานทางด้านทันตกรรมออกแบบให้เป็นรูปร่างฟัน และสวมทับลงบนตัวฟันที่ได้รับการกรอแต่งโดยรอบ ในกรณีต่าง ๆ เหล่านี้

  • ฟันมีรอยร้าว และเริ่มมีอาการเสียวฟันขณะรับประทานอาหาร
  • ฟันที่มีวัสดุอุดฟันขนาดใหญ่
  • ฟันที่มีการแตกหักหรือบิ่นจากการใช้งานหรือจากอุบัติเหตุ
  • ฟันที่ได้รับการรักษารากฟัน
  • ฟันที่มีรูปร่างหรือเนื้อฟันผิดปกติ
  • ฟันที่มีการเรียงตัวผิดปกติ
  • เพื่อเป็นการฟื้นฟูและบูรณะระดับการสบฟันให้เป็นปกติ
  • เพื่อเป็นส่วนประกอบในการทำสะพานฟันและฝังรากเทียม

ประเภทของครอบฟัน

ครอบฟันแบ่งออกได้เป็น 3 ชนิดหลัก คือ
1.ครอบฟันเซรามิก (All Ceramic Crown) เป็นครอบฟันที่ทำด้วยเซรามิกล้วน ไม่มีส่วนของโลหะ มีความสวยงามเหมือนธรรมชาติ
2. ครอบฟันโลหะ (All Metal Crown) เป็นครอบฟันที่ทำด้วยโลหะผสมชนิดเดียวกันทั้งชิ้น จึงมีความแข็งแรงไม่มีการแตกหัก
3. ครอบฟันโลหะเคลือบด้วยเซรามิก(Porcelain fused to metal Crown) เป็นครอบฟันที่ใช้โลหะเป็นแกนด้านใน แล้วเคลือบด้านนอกด้วยเซรามิก

ข้อควรปฏิบัติและการดูแลหลังเข้ารับการทำครอบฟัน

1. ควรหลีกเลี่ยงการกัดเคี้ยวอาหารแข็งในตำแหน่งฟันซี่ที่ครอบ เป็นเวลา 24 ชั่วโมง หลังการยึดติดอาจมีอาการเสียวฟันหรือเหงือกบวมเกิดขึ้นได้ ในผู้รับการรักษาบางท่าน ซึ่งอาการดังกล่าวจะหายได้เองภายในเวลาไม่นาน และท่านสามารถหลีกเลี่ยงอาการเหล่านี้ได้โดยบ้วนปากด้วยน้ำเกลือหลังการแปรงฟันทุกครั้ง
2. หลีกเลี่ยงการดื่ม หรือรับประทานอาหารที่เย็น หรือร้อนจัด
3. ควรหลีกเลี่ยงการกัดเคี้ยวอาหารแข็ง เช่น น้ำแข็ง, กระดูกอ่อน, ถั่วแข็งๆ ในกรณีที่ใช้ครอบฟันชนิดเซรามิก หรือ โลหะเคลือบเซรามิก เพราะเซรามิกอาจบิ่นหรือแตกออกได้
4. ควรทำความสะอาดโดยการแปรงฟันหลังมื้ออาหารทุกครั้ง และใช้ไหมขัดฟันอย่างน้อยวันละ 1 ครั้ง
5. ควรตรวจสุขภาพฟันโดยทันตแพทย์ทุก 6 เดือน

สะพานฟัน เป็นชิ้นงานทางทันตกรรม ที่ใช้สำหรับทดแทนฟันที่สูญเสียไป โดยมีการครอบยึดติดกับฟันซี่ข้างเคียงทั้งสองข้าง และฟันปลอมเชื่อมอยู่ในตำแหน่งกลางของครอบฟัน

ประเภทของสะพานฟัน

สะพานฟันแบ่งออกได้เป็น 3 ชนิดหลัก ตามชนิดของวัสดุที่ใช้ทำครอบฟัน ดังนี้

  1. สะพานฟันเซรามิกล้วน (All ceramic bridge)
    เป็นสะพานฟันที่ทำด้วยเซรามิกล้วน ไม่มีส่วนผสมโลหะ เหมาะสำหรับฟันหน้าที่ต้องการความสวยงาม เนื่องจากมีความใส สวยงาม เหมือนฟันธรรมชาติ
  2. สะพานฟันโลหะล้วน (All metal bridge)
    เป็นสะพานฟันที่ทำด้วยโลหะผสมชนิดเดียวกันทั้งชิ้น จึงมีความแข็งแรงทนต่อแรงบดเคี้ยวได้ดี

  3. สะพานฟันโลหะเคลือบด้วยเซรามิก (Porcelain fused to metal bridge)
    เป็นสะพานฟันที่ใช้โลหะเป็นแกนด้านใน แล้วเคลือบด้านนอกด้วยเซรามิก

ขั้นตอนการทำสะพานฟัน

  1. กรอแต่งฟันในตำแหน่งฟันหลัก ที่ใช้ยึดสะพานฟัน ภายใต้ยาชาเฉพาะที่
  2. พิมพ์ปากเพื่อทำแบบจำลองฟัน และส่งแบบจำลองฟันไปยังห้องแล็ป เพื่อให้ช่างทันตกรรมทำชิ้นงานสะพานฟัน
  3. ยึดติดสะพานฟันชนิดชั่วคราว สำหรับใช้งานประมาณ 5 – 7 วัน
  4. หลังจาก 5 – 7 วัน ทันตแพทย์ลองชิ้นงานสะพานฟัน และปรับแต่งให้เหมาะสมกับสภาพการสบฟันของผู้รับการรักษา
  5. ยึดติดสะพานฟันอย่างถาวรด้วยวัสดุทางทันตกรรม

 

ข้อควรปฏิบัติและการดูแลหลังเข้ารับการทำสะพานฟัน

  1. ควรหลีกเลี่ยงการกัดเคี้ยวอาหารในตำแหน่งสะพานฟัน หลังการยึดติดเป็นเวลา 24 ชั่วโมง
  2. อาจมีอาการเสียวฟัน หรือเหงือกบวม เกิดขึ้นได้ในผู้รับการรักษาบางท่าน ซึ่งอาการดังกล่าวจะหายได้เองภายในเวลาไม่นาน และท่านสามารถหลีกเลี่ยงอาการเหล่านี้ได้โดย
    • บ้วนปากด้วยน้ำเกลือ หลังการแปรงฟันทุกครั้ง
    • หลีกเลี่ยงการดื่ม หรือรับประทานอาหารที่เย็นจัดหรือร้อนจัด
  3. ควรหลีกเลี่ยงการกัดเคี้ยวอาหารแข็ง เช่น น้ำแข็ง, กระดูกอ่อน, ถั่วแข็งๆ ในกรณีที่ใช้สะพานฟันชนิด เซรามิก หรือโลหะเคลือบเซรามิก เพราะเซรามิกอาจมีการบิ่นหรือแตกออกได้
  4. ควรทำความสะอาดโดยการแปรงฟันหลังมื้ออาหารทุกครั้งและใช้ไหมขัดฟันอย่างน้อยวันละ 1 ครั้ง
  5. ควรตรวจสุขภาพฟันโดยทันตแพทย์ทุก 6 เดือน

การฝังรากเทียม เป็นวิทยาการทางทันตกรรมที่ทดแทนการสูญเสียฟันธรรมชาติ โดยฝังวัสดุที่มีรูปร่างคล้ายรากฟันลงบนกระดูกขากรรไกร เพื่อช่วยให้ฟันปลอมภายในช่องปาก ทั้งชนิดถอดได้และชนิดติดแน่นยึดเกาะได้ดี และมีข้อดีที่ช่วยกระจายแรงบดเคี้ยวลงบนกระดูกขากรรไกร เปรียบเสมือนรากฟันธรรมชาติที่ป้องกันไม่ให้มีการละลายตัวของกระดูกขากรรไกรจากการสูญเสียฟันไป

ทันตกรรมรากเทียมประกอบด้วย 3 ส่วนหลักที่สำคัญ คือ

  1. รากเทียม เป็นวัสดุที่ทำจากโลหะไททาเนียม ทำหน้าที่ทดแทนรากฟัน ซึ่งฝังอยู่ในกระดูกขากรรไกร และกระดูกจะสร้างเนื้อเยื่อเข้ามายึดติดกับรากเทียมได้แน่น โดยไม่ทำให้เนื้อเยื่ออักเสบ และไม่เกิดผลข้างเคียงใดๆ ต่อกระดูกโดยรอบ
  2. แกนหลัก เป็นวัสดุที่ใส่ในรากเทียม เพื่อเป็นแกนสำหรับรองรับฟันปลอม ซึ่งมีหลากหลายชนิดขึ้นอยู่กับลักษณะของฟันปลอม
  3. ฟันปลอม เป็นส่วนที่ลอกเลียนรายละเอียดของฟันธรรมชาติ ซึ่งอาจจะเป็นครอบฟัน, สะพานฟัน หรือ ฟันปลอมชนิดถอดได้

 

ประเภทของทันตกรรมรากเทียม

รากเทียม เป็นวิทยาการที่นำมาใช้ในงานทันตกรรม ได้ 3 รูปแบบ ดังนี้

  1. ทันตกรรมรากเทียม สำหรับงานฟันปลอมชนิดติดแน่น เช่น ครอบฟัน, สะพานฟัน ใช้ระยะเวลา 3-6 เดือน
  2. ทันตกรรมรากเทียม สำหรับงานฟันปลอมชนิดถอดได้ เช่น ฟันปลอมอะคลิริค, ฟันปลอมโครงโลหะ ใช้ระยะเวลา 3-6 เดือน
  3. ทันตกรรมรากเทียมสำหรับใช้งานได้ทันที เหมาะสำหรับการทำฟันปลอมเพียง 1 ซี่ ในตำแหน่งที่ไม่ได้รับแรงในการบดเคี้ยว ใช้เวลาเพียง 1 วัน-3 สัปดาห์

    ขั้นตอนการทำรากเทียม

    1. ทันตแพทย์สอบถามถึงประวัติโรคประจำตัวและพฤติกรรมการสูบบุหรี่ เนื่องจากโรคประจำตัวบางชนิด เช่น โรคเบาหวาน, โรคทางกระดูกบางอย่าง, การฉายรังสีรักษาบริเวณใบหน้า หรือการสูบบุหรี่ อาจส่งผลเสียต่อการยึดติดของรากเทียม
    2. ทันตแพทย์ตรวจสุขภาพช่องปาก และบันทึกภาพถ่ายรังสี เพื่อประเมินถึงการดูแลสุขภาพช่องปากของคนไข้ และประเมินความหนาของกระดูกที่รองรับรากเทียม
    3. การผ่าตัดฝังรากเทียมลงในกระดูกขากรรไกร ภายใต้ยาชาเฉพาะที่ โดยใช้เวลาในการผ่าตัดประมาณ 1-2 ชั่วโมง หลังจากนั้น รอให้มีการสร้างเนื้อเยื่อกระดูกยึดติดกับรากเทียม ประมาณ 3-6 เดือน ซึ่งขึ้นอยู่กับคุณภาพของกระดูกขากรรไกร
    4. เมื่อมีการยึดแน่นของรากเทียม ทันตแพทย์จะต่อส่วนแกนหลักเข้ากับรากเทียม และรอให้เหงือกบริเวณรอบแกนหลักปรับสภาพเนื้อเยื่อ ประมาณ 1-2 สัปดาห์
    5. ทันตแพทย์พิมพ์ปากเพื่อทำฟันปลอม ซึ่งใช้ระยะเวลาประมาณ 1-3 สัปดาห์ (ขึ้นอยู่กับชนิดของฟันปลอม)
    6. ทันตแพทย์ยึดหรือสวมใส่ฟันปลอมลงบนแกนหลัก และแนะนำวิธีการดูแลทำความสะอาด

     

    ข้อควรปฏิบัติและการดูแลหลังการฝังรากเทียม

    1. ภายใน 1 สัปดาห์แรก หลังการผ่าตัด ควรรับประทานอาหารอ่อน และหลีกเลี่ยงการสูบบุหรี่
    2. อาจมีอาการเจ็บหรือบวมบริเวณที่ทำการผ่าตัด ภายใน 1 สัปดาห์แรก ซึ่งท่านสามารถหลีกเลี่ยงอาการดังกล่าวได้โดย
      • ประคบเย็นในช่วง 48 ชั่วโมงแรกหลังการผ่าตัด
      • ประคบอุ่นหลังการผ่าตัด 48 ชั่วโมง
      • บ้วนปากด้วยน้ำเกลือ หลังการแปรงฟันทุกครั้ง
      • รับประทานยาตามที่ทันตแพทย์แนะนำ
    3. หลีกเลี่ยงการกัดเคี้ยวอาหารในตำแหน่งที่ฝังรากเทียม ภายใน 3 เดือนแรก เพื่อป้องกันแรงกระแทก ที่อาจจะมีผลต่อการสร้างเนื้อเยื่อติดกับรากเทียม
    4. ควรทำความสะอาด โดยการแปรงฟันหลังมื้ออาหารทุกครั้ง โดยเน้นในตำแหน่งที่ทำการฝังรากเทียมด้วยแปรงขนนุ่ม และใช้ไหมขัดฟันได้ตามปกติเหมือนฟันธรรมชาติ อย่างน้อยวันละ 1 ครั้ง
    5. ควรหลีกเลี่ยง การรับประทานอาหารที่มีความแข็ง และเหนียวมากเกินไป
    6. ควรตรวจสุขภาพฟันโดยทันตแพทย์ทุก 6 เดือน

เราใช้คุกกี้เพื่อพัฒนาประสิทธิภาพ และประสบการณ์ที่ดีในการใช้เว็บไซต์ของคุณ การใช้งานเว็บไซต์ของเราแสดงว่าคุณยอมรับนโยบายความเป็นส่วนตัว และการใช้คุกกี้ของเรา

ตั้งค่าความเป็นส่วนตัว

คุณสามารถเลือกการตั้งค่าคุกกี้โดยเปิด/ปิด คุกกี้ในแต่ละประเภทได้ตามความต้องการ ยกเว้น คุกกี้ที่จำเป็น

ยอมรับทั้งหมด
จัดการความเป็นส่วนตัว
  • เปิดใช้งานตลอด

บันทึกการตั้งค่า